Новости рынка лабораторной диагностики от компании ОМБ
Ваш еженедельный источник новостей, актуальной информации о клинической лабораторной диагностике. Авторами материалов являются сотрудники компании ОМБ – специалисты с глубокими познаниями в этой области. Это не просто новостные сводки, а полноценные статьи, основанные на тщательном анализе научных данных и тенденциях последних исследований, где каждый материал дополнен мнениями и комментариями ведущих экспертов ОМБ.
Штамм эпидермального стафилококка ингибирует образование рака кожи
Новое исследование Калифорнийского университета в Сан-Диего выявило, что штамм эпидермального стафилококка производит химическое соединение 6-N-гидроксиаминопурин (6-HAP).
Низкокалорийные подсластители могут способствовать метаболическому синдрому
Являются ли низкокалорийные подсластители вредными для здоровья?
Неизвестные структуры обнаружены на концевых участках сперматозоидов
Учеными из Гётеборгского Университета (Швеция) были обнаружены спирали, связанные с внутренней стенкой микротрубочек, составляющих жгутик сперматозоида.
Бактерии кишечника могут распространяться на другие органы, запуская аутоиммунные болезни
Результаты нового исследования Университета Яла (Yale University) показали, что существуют бактерии, которые мигрируют из кишечника в различные части организма, вызывая аутоиммунные заболевания.
Может ли шум окружающей среды вызвать серьезную сердечную патологию?
В исследовании Американского колледжа кардиологии (ACC) рассмотрены механизмы, развития сердечно-сосудистой патологии, индуцированной хроническим воздействием шума городского дорожного движения, самолетов, поездов.
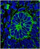
Растить добро
Исследователи из Манчестерского университета сообщают, что им удалось из стволовых клеток создать «почти почку», органоиды, содержащие функционирующие нефроны – структурно-функциональные единицы почек.
Как инъекции «Молодой крови» могут предотвратить когнитивный спад и потерю памяти по мере старения
Омоложение старого усталого ума звучит, как «эликсир молодости», мечта вампира. И тем не менее, есть свидетельства того, что переливание молодой крови может замедлить старение и, в том числе, повысить производительность мозга.
Регулярное потребление жиров может привести к заболеванию печени
Ученные из Университета Гранады провели исследование и доказали, что регулярное потребление различных диетических жиров, таких как оливковое, подсолнечное масло и рыбьего жира, оказывает влияние и на печень крыс.
Внимание!
Размещенная на сайте www.omb.ru информация (в том числе рекламного характера), а также графические образы и изображения медицинских изделий представлены исключительно для сотрудников медицинских организаций/медицинских работников - пользователей медицинских изделий и поставщиков медицинских изделий.
Нажимая на кнопку «Продолжить» и оставаясь на указанном сайте, вы подтверждаете, что являетесь медицинским работником, либо поставщиком медицинских изделий и принимаете на себя ответственность за несоблюдение указанного ограничения.