Лабораторное оборудование и расходные материалы
ru en

Новости рынка лабораторной диагностики от компании ОМБ

Ваш еженедельный источник новостей, актуальной информации о клинической лабораторной диагностике. Авторами материалов являются сотрудники компании ОМБ – специалисты с глубокими познаниями в этой области. Это не просто новостные сводки, а полноценные статьи, основанные на тщательном анализе научных данных и тенденциях последних исследований, где каждый материал дополнен мнениями и комментариями ведущих экспертов ОМБ.

Нужна ли валидация результатов лабораторного исследования при перестановке оборудования в лаборатории?

Нужна ли валидация результатов лабораторного исследования при перестановке оборудования в лаборатории?

На форуме Американской Ассоциации Клинической Химии (AACC) 4 мая обсуждали вопрос о необходимости валидации лабораторного исследования после перестановки оборудования, пусть даже, перемещение на несколько метров.

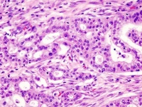
Своевременная диагностика рака поджелудочной железы помогает направлять пациентов на хирургическое лечение

Своевременная диагностика рака поджелудочной железы помогает направлять пациентов на хирургическое лечение

Установлено, что объединение измерения двух белков-биомаркеров, присутствующих в крови, с определением биомаркера CA 19-9, дает возможность диагностировать рак поджелудочной железы на достаточно ранней стадии, чтобы спасти пациентов с помощью хирургической операции.

Ингибирование ключевого фермента может предотвратить увеличение веса среднего возраста

Ингибирование ключевого фермента может предотвратить увеличение веса среднего возраста

Многие из нас, возможно, заметили, что с возрастом набрать вес намного легче. Существует мнение, что это происходит из-за неправильного образа жизни, но новое исследование предполагает, что за увеличение веса в среднем возрасте может нести ответственность фермент.

Крупный прорыв может привести к массовому производству искусственной крови

Крупный прорыв может привести к массовому производству искусственной крови

Каждую минуту в Соединенных Штатах 30 человек требуют переливания крови. Жертвуются гораздо меньшие объемы крови, чем требуются и для удовлетворения спроса многие пытались найти способ создания искусственного продукта. Продолжительное время это было большой проблемой медицины.

Обратный зооноз: вы можете заразить вашего питомца?

Обратный зооноз: вы можете заразить вашего питомца?

Существует большой интерес к передаче болезней от животных к человеку – такие заболевания называются зоонозами. Однако в последнее время ученые-медики начали задавать противоположный вопрос: можем ли и мы заразить наших животных?

Необычные нейроны

Необычные нейроны

Метод визуализации нейронов, разработанный группой исследователей из Allen Institute for Brain Science под руководством Кристофа Коха (Christof Koch) и представленный в феврале 2017 года, позволяет получить подробные карты отдельных нейронов головного мозга мышей.

1 ..
31 32 33
.. 35
1 .. 35
Главная
Вебинары
Профиль