Тромбоциты при COVID-19
Текущая пандемия COVID-19 характеризуется в основном тяжелым острым респираторным синдромом со стороны легких, но также отмечаются нарушения функций других органов, включая сердце и кровеносные сосуды.
Ваш еженедельный источник новостей, актуальной информации о клинической лабораторной диагностике. Авторами материалов являются сотрудники компании ОМБ – специалисты с глубокими познаниями в этой области. Это не просто новостные сводки, а полноценные статьи, основанные на тщательном анализе научных данных и тенденциях последних исследований, где каждый материал дополнен мнениями и комментариями ведущих экспертов ОМБ.
Текущая пандемия COVID-19 характеризуется в основном тяжелым острым респираторным синдромом со стороны легких, но также отмечаются нарушения функций других органов, включая сердце и кровеносные сосуды.
Информации о лечении гипергликемии у пациентов, зараженных SARS-CoV-2, довольно мало, несмотря на то, что у пациентов с диабетом отмечается более высокий уровень осложнений, включая респираторный дистресс-синдром взрослых и полиорганную недостаточность.
Существует более 50 причин на стадии преаналитического этапа, которые приводят к ложному завышению уровня калия у пациентов.
⠀
Мы рассмотрим 10 из них.
В 2020 году большинство руководителей клиник остались перед выбором - ждать конца пандемии и возврата к привычным условиям работы, либо начать приспосабливаться и учиться работать в новых реалиях рынка.
Новый гриппоподобный коронавирус, именуемый во врачебном сообществе "Тяжелый острый респираторный синдром Коронавирус 2" (SARS-CoV-2 или ТОРС COVID-19) - тяжелое заболевание, в основном поражающее дыхательные пути.
В работе ученых из университета «Queen Mary University» в Лондоне, было изучено влияние факторов риска сердечно-сосудистых заболеваний (ССЗ) на риск заражения COVID-19.
Тесты на выявление инфекций мочевыводящих путей (ИМП) часто проводятся в больницах в плановом порядке, даже если у пациентов нет симптомов.
Система тестирования на месте (POCT) определяется как клиническое лабораторное тестирование, проводимое рядом с местом оказания помощи пациенту, и выполняется преимущественно клиническим персоналом.
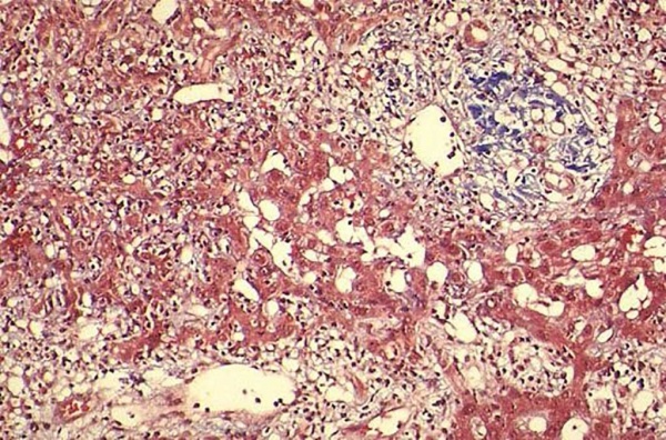
Цирроз печени – возникает в результате продолжительного повреждения печени. Острое желудочно-кишечное кровотечение - серьезное осложнение у пациентов с циррозом печени. В Китае основной причиной цирроза является вирус гепатита B (HBV).
Внимание!
Размещенная на сайте www.omb.ru информация (в том числе рекламного характера), а также графические образы и изображения медицинских изделий представлены исключительно для сотрудников медицинских организаций/медицинских работников - пользователей медицинских изделий и поставщиков медицинских изделий.
Нажимая на кнопку «Продолжить» и оставаясь на указанном сайте, вы подтверждаете, что являетесь медицинским работником, либо поставщиком медицинских изделий и принимаете на себя ответственность за несоблюдение указанного ограничения.